
Lumify sees what you can’t
Ultrasound exams can improve your ability to identify and successfully treat skin abscesses.

Early detection can help keep conditions from becoming critical
Congestive heart failure is a growing issue today. Discovering it earlier with in-office ultrasound can greatly improve survival rates.

Exam results at your fingertips
Lumify makes it easy to store and access patient exam results and images right from your compatible Android or iOS device. You can even share those results with colleagues for better collaboration.

















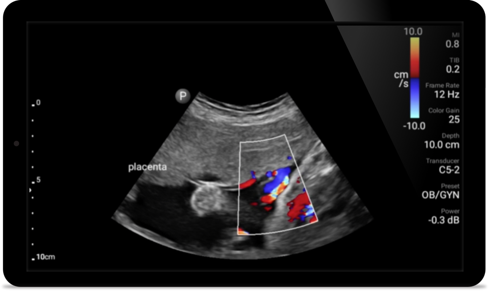
• 5 to 2 MHz extended operating frequency range • 50mm radius of curvature • 2D, color Doppler, M-mode, advanced XRES and multivariate harmonic imaging, SonoCT • High-resolution imaging for deeper applications: abdominal, gall bladder, OB/GYN and lung imaging preset optimizations • Center line marker • USB-C transducer with replaceable cable


From revealing the subtle details of an image to uncovering enriched tissue definition from multiple angles, Lumify can help you make real-time decisions with more confidence from assessment through recovery.

Case study
Cardiac tamponade masquerades as abdominal pain

Tutorial
Assessment of left ventricular function

Quick guide
POC ultrasound for soft tissue
You are about to visit a Philips global content page
Continue