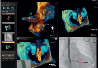
بعد تشخيص مريض بارتجاع الصمام الميترالي، ما هي خيارات العلاج المتوفرة له؟ إذا لم يكن مرشحًا للخضوع لعملية القلب المفتوح، يمكنك التفكير في معالجته عبر إصلاح الصمام الميترالي باستخدام القسطرة (TMVR). وفي يومنا الحالي، تؤمن حلول التصوير المبتكرة والأجهزة المتوفرة حديثًا خيارات جديدة لبعض المرضى.
تعلّم المزيد حول حلول طب القلب التي تقدمها شركتنا.












