
Ultra High Resolution enabled by significant improvement in resolution. Commercially available systems enable spatial resolution of up to 40 lp/cm. 1

Enhanced Dose efficiency by enabling the possibility to use less dose and get more information from each photon. Commercially available systems allow for dose reduction of 32% compared to dual-source CT. 2

Spectral always on through detector-based multi-energy acquisition and analysis capabilities.

Christoph Herrmann, Philips Research, “Detection principle of Photon Counting Detectors”4
Unlike the integrated detectors used in conventional scanners, Spectral Photon Counting Detectors are made of CZT (Cadmium Zinc Telluride) semiconductors. The first layer of semiconductor of thickness from 2 to 3mm, allows, by absorbing a photon, to form electron-hole pairs. These detectors are connected to an electronic system (ASIC) composed of parallel channels allowing successively to model the signal and to amplify it so that it is sorted by energy level. The photons are then discriminated in 2 to 8 energy levels chosen beforehand. Operation of the detectors is summarized in the video.3


In contrast to CT, spectral photon counting systems (SPCCT) doesn’t just capture the volume of photons that make it through – it also measures the energy of each photon. As a result, much like we perceive different photon energy levels as different colors of light, SPCCT enables clinicians to ‘see’ X-rays in full color.5


As part of an EU-funded consortium, Philips is pioneering research into the next generation of CT imaging: Spectral Photon Counting CT (SPCCT).
Philips’ clinical prototype is the world’s first full-field-of-view SPCCT system, and has recently been installed at Lyon University Hospital, France.7
Photon Counting is a work in progress, not FDA cleared.
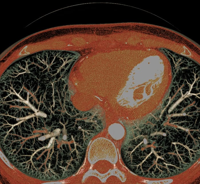
Spectral Photon Counting CT is a new imaging modality based on the usual CT concept with the key difference of energy resolving detector technology. The additional spectral information can be used for material separation and can deliver additional, new contrast with clinically relevant new information.
Pr Philippe Douek, MD, PhD
Professor at Hospices Civils de Lyon
1. NAEOTOM Alpha 2. Photon-counting CT bests DSCT for reducing abdominal radiation dose (auntminnie.com) 3. Photon Counting Detectors for a higher spatial resolution 4. Christoph Herrmann, Philips Research, “Detection principle of Photon Counting Detectors” 5. Imaging Physics: Update on Multienergy CT: Physics, Principles, and Applications. Prabhakar Rajiah, MBBS, et al. RSNA.org 6. Photon Counting CT: Clinical Applications and Future Developments 7. Philips pioneers research into next generation of CT imaging - News | Philips 8. Prof Philippe Douek, MD, PhD, Professor at Hospices Civils de Lyon (PDF) Spectral Photon Counting CT European Project
Photon Counting Detectors for a higher spatial resolution (spectralphotoncountingct.com)
ISCT: Just how great is photon-counting CT?
Photon-counting CT: Scouting for Quantitative Imaging Biomarkers
MDPI: Image-Quality Assessment of Polyenergetic and Virtual Monoenergetic Reconstructions of Unenhanced CT Scans of the Head
SPCCT – Imaging all the Photons
Photon Counting Clinical Images courtesy of Lyon, Hospices Civils de Lyon
You are about to visit a Philips global content page
Continue